Tooth Filling & Cavity Treatment

Stop Cavities and Restore Your Smile with Cosmetic Fillings

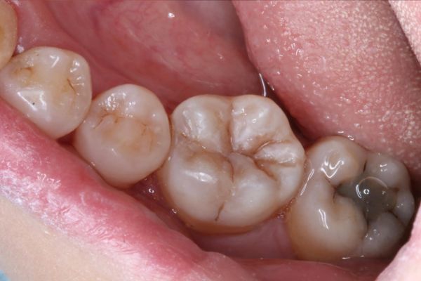
Cavities and decay are common issues that can rapidly grow and seriously damage your teeth if neglected. Early and effective treatment is crucial. At Smile Care Dental Clinic, we specialize in modern Tooth Filling in Bhopal using materials that not only restore the function of your tooth but also preserve the aesthetics of your smile.

We use high-quality, tooth-colored fillings that seamlessly blend with your natural teeth, making the treated area virtually invisible. This allows for superior dental restoration that is both safe, long-lasting, and highly cosmetic. Timely filling treatment is key to preventing further decay and more expensive dental problems down the line.

Dr. Joshi Smile Care : Since To 2005

Book Your Appointment with Bhopal’s Best Dental Clinic

Experience expert dental care and a brighter smile at Dr. Joshi Smile Care, Bhopal’s trusted destination for healthy, confident smiles.

Our Comprehensive Restoration Services

We offer a variety of filling and restoration treatments to repair damage and enhance your smile:

Tooth Filling in Bhopal

Expert treatment for repairing cavities and addressing active decay.

Cosmetic Filling

Used to repair minor flaws like cracks, chips, and small gaps, enhancing tooth appearance.

Dental Restoration

Treatments for broken, fractured, or worn teeth, rebuilding the tooth structure for strength and function.

Why Choose Smile Care for Your Tooth Fillings?

Choosing us for your filling and cavity treatment ensures you receive the best in modern restorative care:

Book Your Cavity Checkup Today

Don't let cavities and decay compromise your oral health. Schedule a checkup with the best dentist near you in Bhopal for a professional examination and natural-looking tooth filling.